kdl logo

ALL INTERESTING CASES



001 Milled Titanium Implant Bar

002 Screw-retained Zirconia Br

003 Screw-retained Zirconia Br

004 Hybrid Acrylic with Ti Frame


005 Milled PMMA Eggshell Temp

006 Screw-retained Zirconia Br


007 Milled Burnout Abutments


008 Upper&Lower Zirconia Br


009 Screw-retained Zirconia Br





interesting cases
case001

STEP1

TEETH-SETUP AND TRY-IN

STEP1

TEETH-SETUP AND TRY-IN

Select titanium bases which their height match to gingiva.

STEP1

TEETH-SETUP AND TRY-IN

Select titanium bases which their height match to gingiva.

STEP1

TEETH-SETUP AND TRY-IN

Create baseplate and teeth-setup over the titanium bases in order to seat well on implant and working model.

STEP1

TEETH-SETUP AND TRY-IN

Create baseplate and teeth-setup over the titanium bases in order to seat well on implant and working model.

STEP2

CAD-CAM

Scan try-in acrylic denture as situation model.

STEP2

CAD-CAM

Design full-contour by using scanned situation model as a guideline.

STEP2

CAD-CAM

Reduced anatomy

STEP2

CAD-CAM

Ready to mill.

STEP2

CAD-CAM

Position of the titanium bases and full-contour and screw holes on lingual side.

STEP2

CAD-CAM

Ready to mill.

STEP3

FINAL PROSTHESIS

Screw-retained zirconia bridge
veneered with porcelain and gingiva pink porcelain.

 

STEP3

FINAL PROSTHESIS

Screw-retained zirconia bridge
veneered with porcelain and gingiva pink porcelain.

STEP3

FINAL PROSTHESIS

Screw-retained zirconia bridge
veneered with porcelain and gingiva pink porcelain.

STEP3

FINAL PROSTHESIS

Screw-retained zirconia bridge
veneered with porcelain and gingiva pink porcelain.

STEP3

FINAL PROSTHESIS

Screw-retained zirconia bridge
veneered with porcelain and gingiva pink porcelain.

STEP3

FINAL PROSTHESIS

Screw-retained zirconia bridge
veneered with porcelain and gingiva pink porcelain.

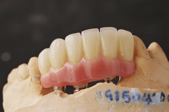
STEP3

FINAL PROSTHESIS

Screw-retained zirconia bridge
veneered with porcelain and gingiva pink porcelain.

Various height of titanium bases.

STEP3

FINAL PROSTHESIS

Screw-retained zirconia bridge
veneered with porcelain and gingiva pink porcelain.

Various height of titanium bases.

   
   
   
   
   
   
   
   
   
   
   
   
   
   
   
   
   
   
home all interesting cases