kdl logo

ALL INTERESTING CASES



001 Milled Titanium Implant Bar

002 Screw-retained Zirconia Br

003 Screw-retained Zirconia Br

004 Hybrid Acrylic with Ti Frame


005 Milled PMMA Eggshell Temp

006 Screw-retained Zirconia Br


007 Milled Burnout Abutments


008 Upper&Lower Zirconia Br


009 Screw-retained Zirconia Br





interesting cases
case001

STEP1

CAD-CAM

Implant scanmarkers
and select titanium bases.

STEP1

CAD-CAM

Implant scanmarkers
and select titanium bases.

STEP1

CAD-CAM

Simulation of screw channel, titanium bases and anatomy design.

STEP1

CAD-CAM

Reduced anatomy and antagonist.

"Prettau design" - reduced anatomy on labial/buccal of 15-25 While all occlusal surface and 17,16,26,27 remained full-anatomical contour.

STEP1

CAD-CAM

Milled high-translucent zirconia block (Prettau Zirconia), before sintering

STEP1

CAD-CAM

Milled high-translucent zirconia block (Prettau Zirconia), before sintering

STEP1

CAD-CAM

Milled high-translucent zirconia block (Prettau Zirconia), before sintering

STEP2

COLORING

Apply Zirkonzahn coloring liquid on green zirconia.

STEP2

COLORING

Apply Zirkonzahn coloring liquid on green zirconia.

STEP2

COLORING

Apply Zirkonzahn coloring liquid on green zirconia.

STEP2

COLORING

Apply Zirkonzahn coloring liquid on green zirconia.

(Right) After sintering.

STEP3

SINTERING

 

STEP3

SINTERING

STEP3

SINTERING

After sintering with selected titanium bases.

STEP3

SINTERING

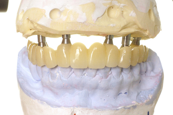
STEP4

FINAL PROSTHESIS

"Prettau Design"

Porcelain veneered on labial and buccal surface.

Screw-retained Zirconia Bridge with Titanium bases.

STEP4

FINAL PROSTHESIS

"Prettau Design"

Porcelain veneered on labial and buccal surface.

Screw-retained Zirconia Bridge with Titanium bases.

STEP4

FINAL PROSTHESIS

"Prettau Design"

Porcelain veneered on labial and buccal surface.

Screw-retained Zirconia Bridge with Titanium bases.

STEP4

FINAL PROSTHESIS

"Prettau Design"

Porcelain veneered on labial and buccal surface.

Screw-retained Zirconia Bridge with Titanium bases.

STEP4

FINAL PROSTHESIS

"Prettau Design"

Porcelain veneered on labial and buccal surface.

Screw-retained Zirconia Bridge with Titanium bases.

STEP4

FINAL PROSTHESIS

"Prettau Design"

Porcelain veneered on labial and buccal surface.

Screw-retained Zirconia Bridge with Titanium bases.

STEP4

FINAL PROSTHESIS

"Prettau Design"

Porcelain veneered on labial and buccal surface.

Screw-retained Zirconia Bridge with Titanium bases.

STEP4

FINAL PROSTHESIS

"Prettau Design"

Porcelain veneered on labial and buccal surface.

Screw-retained Zirconia Bridge with Titanium bases.

   
   
   
   
   
   
   
   
   
   
   
   
   
   
home all interesting cases